Khi thú cưng của bạn không chỉ gãi tai mà bắt đầu có những biểu hiện lạ lùng như nghiêng đầu sang một bên, đi loạng choạng như người say rượu, hoặc ánh mắt giật liên hồi, đó không còn là vấn đề ngoài da. Đây là tín hiệu cho thấy “bức tường lửa” màng nhĩ đã bị xuyên thủng, mở đường cho mầm bệnh tấn công trực tiếp vào hệ thần kinh trung ương.
Viêm tai giữa và tai trong ở chó mèo là một tình trạng cấp cứu nhĩ khoa. Mọi nỗ lực tự nhỏ thuốc tại nhà lúc này không những vô tác dụng mà còn có thể đẩy thú cưng vào cảnh điếc vĩnh viễn do độc tính của thuốc.
📌 BẢN ĐỒ LÂM SÀNG KHẨN CẤP:
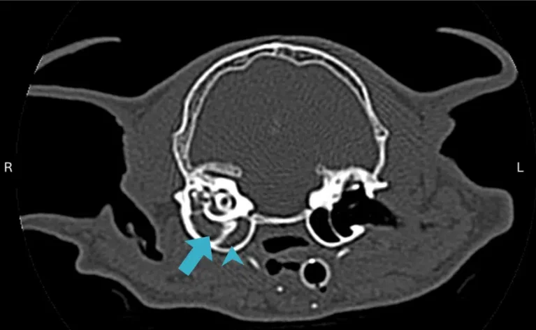
Bản chất: Là sự lan rộng của nhiễm trùng từ tai ngoài xuyên qua màng nhĩ (tai giữa) vào đến ốc tai và hệ tiền đình (tai trong).
Triệu chứng báo động: Nghiêng đầu (Head tilt), mất thăng bằng (Ataxia), rung giật nhãn cầu (Nystagmus).
Cảnh báo Đỏ: Ngừng ngay mọi hoạt động vệ sinh tai bằng tăm bông hoặc dung dịch rửa thông thường nếu nghi ngờ thủng màng nhĩ.
1. Khi màng nhĩ thất thủ: Ranh giới giữa viêm ngoài và viêm giữa
Màng nhĩ đóng vai trò là lá chắn cơ học tối quan trọng được mô tả trong cấu tạo giải phẫu tai chó mèo. Khi tình trạng viêm tai ngoài ở chó mèo kéo dài không được điều trị, áp lực dịch mủ tích tụ ở đáy ống ngang sẽ tạo ra một lực ép khủng khiếp lên màng nhĩ.

2. Hội chứng tiền đình: Tại sao chó mèo nghiêng đầu và loạng choạng?
Khi vi khuẩn vượt qua tai giữa để tiến vào tai trong (Otitis Interna), chúng sẽ xâm chiếm ốc tai và cơ quan tiền đình – nơi điều khiển khả năng thăng bằng. Đây là lúc thú cưng xuất hiện “Hội chứng tiền đình” với các biểu hiện đặc trưng: chó bị nghiêng đầu về phía tai viêm, mèo mất thăng bằng và có xu hướng ngã đổ về một bên.

Sự rung giật nhãn cầu (mắt chuyển động nhanh liên tục) là bằng chứng cho thấy não bộ đang bị nhiễu loạn tín hiệu định vị. Nếu không can thiệp kịp thời, biến chứng viêm tai thần kinh có thể dẫn đến liệt mặt hoặc viêm màng não.
3. Độc tính tai (Ototoxicity): Mối nguy hiểm từ việc tự ý nhỏ thuốc
Nhiều chủ nuôi khi thấy thú cưng đau đớn thường cố gắng thực hiện vệ sinh tai chó mèo đúng cách bằng các loại dung dịch mạnh. Tuy nhiên, nếu màng nhĩ đã thủng, các loại thuốc nhỏ tai thông thường (đặc biệt là nhóm Aminoglycoside như Gentamicin hoặc Neomycin) sẽ trở thành thuốc độc.
Khi tiếp xúc trực tiếp với các tế bào lông nhạy cảm trong tai trong, chúng sẽ phá hủy vĩnh viễn khả năng nghe và thăng bằng. Đây gọi là hiện tượng Độc tính tai (Ototoxicity). Vì vậy, khi thấy triệu chứng nghiêng đầu, hãy ngừng ngay việc rửa tai và đối chiếu lại với các mức độ chó mèo bị hôi tai để báo cáo chính xác tình trạng dịch mủ cho bác sĩ.
4. Phác đồ điều trị hệ thống và can thiệp chuyên sâu
Viêm tai giữa/trong không thể giải quyết bằng thuốc nhỏ tại chỗ đơn thuần. Bác sĩ thú y thường phải chỉ định kháng sinh toàn thân liều cao trong 6-8 tuần.

Trong những trường hợp điều trị nội khoa thất bại hoặc xương hòm nhĩ bị hoại tử, phẫu thuật TECA-BO (Cắt bỏ toàn bộ ống tai và mở hòm nhĩ) là lựa chọn cuối cùng để cứu sống thú cưng khỏi cơn đau kinh niên. Hãy luôn the odõi sát sao bảng danh mục các bệnh về tai ở chó mèo để ngăn chặn bệnh lý ngay từ giai đoạn viêm tai ngoài, không để tiến triển thành biến chứng thần kinh nguy hiểm này.


