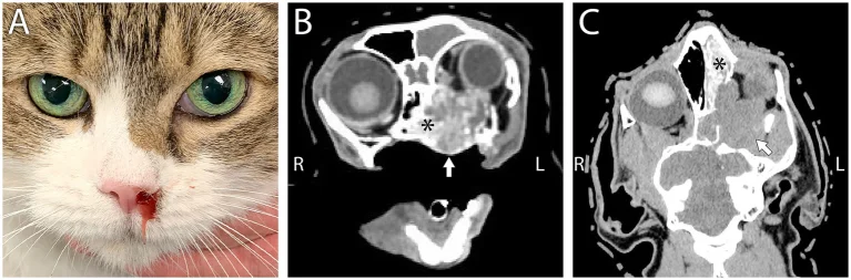
Khi thấy khuôn mặt của mèo cưng đột nhiên sưng vù, đặc biệt là sưng sống mũi mèo kèm theo một bên mắt lồi hẳn ra ngoài, phản xạ tự nhiên của rất nhiều chủ nuôi là cho rằng bé vừa đi đánh nhau về và bị áp xe có mủ. Tuy nhiên, sự thật ẩn giấu bên dưới cấu trúc xương sọ lại tàn khốc hơn một vết cắn rất nhiều.
Dưới góc độ y khoa chuyên sâu, sự kết hợp giữa biến dạng sống mũi và lồi nhãn cầu là dấu hiệu kinh điển của một cuộc xâm lăng sinh học tàn bạo mang tên: Nhiễm nấm toàn thân Cryptococcosis.
📌 TÓM TẮT DÀNH CHO CHỦ NUÔI
Mèo bị lồi mắt đi kèm gồ sống mũi là do sự phát triển của một khối u nấm khổng lồ chèn ép từ sâu bên trong sọ não. Việc tự ý dùng kim chích nặn mủ tại nhà là vô tác dụng và cực kỳ nguy hiểm. Thú cưng cần được chẩn đoán tế bào học và bắt đầu phác đồ kháng nấm đặc hiệu lập tức trước khi dây thần kinh thị giác bị đứt gãy.
1. Bào tử sát thủ & Hành trình xâm nhập từ đường hô hấp
Tác nhân gây ra thảm họa này là nấm Cryptococcus neoformans – một loại nấm men có lớp vỏ nang cực dày, thường tồn tại trong môi trường ẩm ướt, đất mùn và đặc biệt là phân chim bồ câu.
Bệnh không lây qua vết cắn, mà lây qua con đường hô hấp. Khi mèo vô tình hít phải các bào tử nấm này, chúng sẽ không đi thẳng xuống phổi mà chọn khoang mũi làm “căn cứ địa” đầu tiên. Tại đây, nấm sinh sôi nảy nở, tạo thành những mô hạt (Granuloma) khổng lồ lấp đầy hốc mũi.
Sự phát triển của khối u nấm này mạnh đến mức nó đẩy bục phần xương sụn, khiến sống mũi của mèo phình to và gồ cao lên một cách dị dạng. Thuật ngữ lâm sàng gọi đây là hội chứng “Mũi La Mã” (Roman nose).

2. Exophthalmos: Khi khối u nấm “bứng” nhãn cầu ra ngoài
Sự tàn phá của nấm Cryptococcus không dừng lại ở khoang mũi. Với khả năng ăn mòn cả xương sọ, các mô nấm tiếp tục bành trướng và xâm lấn sâu vào không gian chật hẹp phía sau hốc mắt (được gọi là Retrobulbar space).
Sự xuất hiện của một khối u sau nhãn cầu (Retrobulbar mass) vô hình trung biến thành một chiếc đòn bẩy khổng lồ từ bên trong. Nó tàn nhẫn đẩy toàn bộ con ngươi của mèo lồi hẳn ra ngoài khỏi quỹ đạo thông thường – tình trạng này được gọi là Đẩy lồi nhãn cầu (Exophthalmos). Khi mắt bị lồi quá mức, mí mắt không thể nhắm kín để cung cấp màng phim nước mắt bôi trơn, làm tăng cực độ rủi ro loét giác mạc chó mèo nung chảy nhãn cầu nếu không được can thiệp giữ ẩm y khoa.

3. Ranh giới mù lòa & 3 Lệnh cấm tuyệt đối khi sơ cứu
Khối u nấm phía sau hốc mắt không chỉ đẩy lồi nhãn cầu mà còn chèn ép trực tiếp, thậm chí bóp nghẹt dây thần kinh thị giác. Việc tín hiệu truyền về não bị cắt đứt triệt để không chỉ gây mù lòa tức khắc, mà còn là nguyên nhân chó mèo bị giãn đồng tử vĩnh viễn (lỗ con ngươi mở to đen ngòm, mất phản xạ ánh sáng) do thần kinh bị tê liệt.
Để không cướp đi cơ hội sống sót cuối cùng của thú cưng, bạn phải tuân thủ nghiêm ngặt 3 lệnh cấm sau:
-
CẤM tự dùng kim nặn mủ: Vùng sưng tấy này hoàn toàn không phải là mủ lỏng do vi khuẩn sinh ra, mà là một khối mô thịt nấm đặc quánh. Việc dùng sức bóp nặn chỉ gây thêm đau đớn tột cùng và làm vỡ mạch máu sọ não.
-
CẤM tự mua kháng sinh: Thuốc kháng sinh thông thường (Amoxicillin, Doxycycline) sinh ra để diệt vi khuẩn, chúng hoàn toàn vô giá trị trước lớp vỏ nang bọc giáp của nấm Cryptococcus.
-
Yêu cầu chẩn đoán FNA: Lập tức đưa bé đến bệnh viện thú y để bác sĩ chọc hút tế bào bằng kim nhỏ (FNA) đem soi dưới kính hiển vi hoặc xét nghiệm kháng nguyên máu. Một khi chẩn đoán xác định là nấm, bạn cần chuẩn bị tinh thần cho một cuộc chiến trường kỳ, sử dụng phác đồ thuốc kháng nấm toàn thân (như Itraconazole hoặc Fluconazole) kéo dài liên tục từ 3 đến 6 tháng để làm teo nhỏ dần khối u sát thủ này.


